15-latka prawie "utonęła". Rodzice nic nie wiedzieli o jej nałogu

Nastolatka skarżyła się na problemy z oddychaniem i ból pleców. Wkrótce okazało się, że jest skrajnie niedotleniona, a przyczyną jest płyn w płucach, który sprawił, że o mało się nie "utopiła". Dopiero po czasie wyszło, że doprowadziło do tego uzależnienie od e-papierosów. [image type="big" title="15-latka ukrywała nałóg przed rodzicami" source="Facebook" link="" image="https://portal-abczdrowie.wpcdn.pl/2022/12/15/1bdef8d1-bcf8-4a3a-ba00-4e32cbc3e637_842e.jpg" width="1230" height="1082" x="" y="" x2="" y2="" croppedPath="https://portal-abczdrowie.wpcdn.pl/imageCache/2022/12/15/1bdef8d1-bcf8-4a3a-ba00-4e32cbc3e637_842e.-x0y0xx0yy0.jpg" ]

Prawie się utopiła. 15-latka była uzależniona od e-papierosówPrawie się utopiła. 15-latka była uzależniona od e-papierosów
Źródło zdjęć: © Facebook
Maria Krasicka

[/image]

Nastolatka miała płuca zalane płynem

15-letnia Dakota Stephenson z Sydney (Australia) pewnego dnia zaczęła gorączkować, gorzej oddychać i skarżyć się na ból pleców. Wtedy też jej mama postanowiła zawieźć ją do Szpitala Dziecięcego w Randwick, gdzie okazało się, że dziewczyna jest skrajnie niedotleniona.

Powodem było nagromadzenie płynu w płucach - było go na tyle dużo, że groziło jej "utonięcie". Lekarze od razu przenieśli ją na oddział intensywnej terapii, gdzie została podłączona do tlenu. Niestety, nie wiedzieli, co mogło doprowadzić do takiego stanu.

Suche i wtórne utonięcia

Dopiero po czasie okazało się, że zaledwie siedem miesięcy wcześniej Dakota wraz ze swoimi przyjaciółmi zaczęła regularnie wapować, o czym jej rodzice nic nie wiedzieli. Zdaniem lekarzy to właśnie e-papierosy były wszystkiemu winne.

- Dakota co jakiś czas prosiła o drobne na drugie śniadanie do szkoły, czy bilet autobusowy. Nie mieliśmy pojęcia, że odkładała te pieniądze, by kupić wkłady nikotynowe. Facet, od którego je kupowała, oferował im różne smaki, takie jak winogrona, truskawka czy arbuz. To w zasadzie menu dla dzieci - mówi Natasha, mama nastolatki.

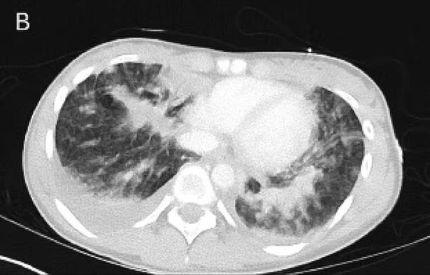
Badania Dakoty
Badania Dakoty © Facebook

Tajemnicza choroba

Po kilku dniach stan nastolatki się ustabilizował na tyle, że lekarze postanowili wykonać jej szczegółowe badania płuc. Patrząc na wyniki, stwierdzili, że nastolatka cierpi na stosunkowo nową chorobę o nazwie EVALI, która została po raz pierwszy opisana w 2019 roku. Jest to uszkodzenie płuc związane z używaniem e-papierosów lub waporyzatorów, zawierających tetrahydrokannabinol (THC) i octan witaminy E.

Dakota w szpitalu
Dakota w szpitalu © Facebook

Dr Eli Dabscheck, pulmonolog z Alfred Hospital w Melbourne przyznał, że opis przypadku Dakoty pasuje do definicji EVALI, ale jest "bardzo nietypowy". Według specjalisty na jej stan mogło się nałożyć inne, do tej pory niezdiagnozowane schorzenie.

- Nie sądzę, abyśmy kiedykolwiek byli w 100 proc. pewni, jaka była przyczyna, ale jedno jest pewne: gdyby Dakota nie używała e-papierosów, byłaby zdrowa - powiedział dr Dabscheck. - Zdecydowanie nie chciałbym, żeby moje dzieci to robiły. Mam nadzieję, że ten przykład da do myślenia rodzicom i będą bardziej uważni, na co ich dzieci przeznaczają pieniądze - podsumował.

Maria Krasicka, dziennikarka Wirtualnej Polski

Masz newsa, zdjęcie lub filmik? Prześlij nam przez dziejesie.wp.pl

Treści w naszych serwisach służą celom informacyjno-edukacyjnym i nie zastępują konsultacji lekarskiej. Przed podjęciem decyzji zdrowotnych skonsultuj się ze specjalistą.

Wybrane dla Ciebie
Skutki nadmiaru selenu. Jakie są konsekwencje?
Skutki nadmiaru selenu. Jakie są konsekwencje?
Myśleli, że to infekcja ucha. Nastolatek zmarł
Myśleli, że to infekcja ucha. Nastolatek zmarł
Dieta na dobry słuch? Te produkty zmniejszają ryzyko pogorszenia słuchu
Dieta na dobry słuch? Te produkty zmniejszają ryzyko pogorszenia słuchu
Niedobory potasu mogą być groźne. Te objawy powinny zwrócić uwagę
Niedobory potasu mogą być groźne. Te objawy powinny zwrócić uwagę
Ratowniczka ostrzega. Ta przekąska znalazła się na liście niebezpiecznych produktów
Ratowniczka ostrzega. Ta przekąska znalazła się na liście niebezpiecznych produktów
Bosacka szczerze o oleju rzepakowym. "Wybierzmy ten najtańszy"
Bosacka szczerze o oleju rzepakowym. "Wybierzmy ten najtańszy"
"Dzień brudaska" w czasie choroby. Lekarka mówi wprost
"Dzień brudaska" w czasie choroby. Lekarka mówi wprost
Na noc zakładają "słone" skarpetki. Lekarz mówi, czy to ma sens
Na noc zakładają "słone" skarpetki. Lekarz mówi, czy to ma sens
"Fala zakażeń". Pediatra o tajemniczym wirusie
"Fala zakażeń". Pediatra o tajemniczym wirusie
Domowy truciciel. "Natychmiastowy negatywny wpływ na funkcje mózgu"
Domowy truciciel. "Natychmiastowy negatywny wpływ na funkcje mózgu"
Wirusy w natarciu. “Można mieć combo w combo”
Wirusy w natarciu. “Można mieć combo w combo”
Tak wyglądają teraz oddziały pediatryczne. "Kończą się miejsca"
Tak wyglądają teraz oddziały pediatryczne. "Kończą się miejsca"