Niezwykła dziewczynka przyszła na świat. Mniej niż 200 przypadków w historii

W Meksyku, w mieście Nuevo Leon na świat przyszła dziewczynka z kilkucentymetrowym ogonem. Niecodzienna narośl była wówczas zaskoczeniem nie tylko dla rodziców dziewczynki, ale również dla lekarzy. Nikt nie spodziewał się takiej niespodzianki, ponieważ ciąża przebiegała bez żadnych komplikacji.

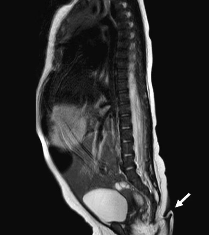
Dziewczynka urodziła się z kilkucentymetrowym ogonem.Dziewczynka urodziła się z kilkucentymetrowym ogonem.
Źródło zdjęć: © Facebook

Dziecko przyszło na świat z kilkucentymetrowym ogonem

Zaraz po tym, jak lekarze odebrali poród, zauważyli kilkucentymetrowy ogon, który wyrastał w okolicy kości ogonowej, nad pośladkiem dziecka. Zgodnie z raportem czasopisma "Jorunal of Pediatric Surgery Case Reports" ogon miał około 6 cm długości, był miękki, pokryty skórą i cienkimi włosami. Co więcej, ogonem można było swobodnie poruszać, a podczas poruszania nim, noworodek nie odczuwał żadnego bólu.

Do tej pory na całym świecie odnotowano mniej niż 200 przypadków dzieci urodzonych z ogonem. Dr Josue Rueda, jeden z lekarzy, który zajął się dziewczynką po urodzeniu, wyznał, że jest to pierwszy taki przypadek w Meksyku. Co ciekawe, nic nie wskazywało na to, że dziecko urodzi się z ogonem. Lekarze zapewniali, że ciąża kobiety przebiegała prawidłowo, a co więcej, przyszła mama nie była narażona na żadne czynniki, które mogłyby wpłynąć na "rozwój ogona".

Operacyjne usunięcie ogona u dziecka

Dwa miesiące po narodzinach dziewczynki i jednocześnie po przeprowadzeniu niezbędnych badań, lekarze z Meksyku zdecydowali się na chirurgiczne usunięcia ogona. Odcięta narośl została wówczas poddana analizie. Badania pokazały, że był to ogon, który przypominał ogony występujące u zwierząt.

Dziewczynka urodziła się z 6-centymetrowym ogonem.
Dziewczynka urodziła się z 6-centymetrowym ogonem. © sciencedirect.com

Struktura narośli składała się bowiem z mięśni, naczyń krwionośnych oraz nerwów. Eksperci tłumaczą, że jeżeli płód rozwija się prawidłowo, taka narośl zostaje wchłonięta przez resztę ciała. Naukowcy do tej pory nie wiedzą jednak, dlaczego w niektórych przypadkach ogon nie ulega wchłonięciu.

Sam zabieg usunięcia narośli nie należał do skomplikowanych, dzięki czemu dziewczynka została niemal od razu wypisana do domu. Po ogonie z kolei została jedynie niewielka blizna.

Masz newsa, zdjęcie lub filmik? Prześlij nam przez dziejesie.wp.pl

Treści w naszych serwisach służą celom informacyjno-edukacyjnym i nie zastępują konsultacji lekarskiej. Przed podjęciem decyzji zdrowotnych skonsultuj się ze specjalistą.

Wybrane dla Ciebie
Skutki nadmiaru selenu. Jakie są konsekwencje?
Skutki nadmiaru selenu. Jakie są konsekwencje?
Myśleli, że to infekcja ucha. Nastolatek zmarł
Myśleli, że to infekcja ucha. Nastolatek zmarł
Dieta na dobry słuch? Te produkty zmniejszają ryzyko pogorszenia słuchu
Dieta na dobry słuch? Te produkty zmniejszają ryzyko pogorszenia słuchu
Niedobory potasu mogą być groźne. Te objawy powinny zwrócić uwagę
Niedobory potasu mogą być groźne. Te objawy powinny zwrócić uwagę
Ratowniczka ostrzega. Ta przekąska znalazła się na liście niebezpiecznych produktów
Ratowniczka ostrzega. Ta przekąska znalazła się na liście niebezpiecznych produktów
Bosacka szczerze o oleju rzepakowym. "Wybierzmy ten najtańszy"
Bosacka szczerze o oleju rzepakowym. "Wybierzmy ten najtańszy"
"Dzień brudaska" w czasie choroby. Lekarka mówi wprost
"Dzień brudaska" w czasie choroby. Lekarka mówi wprost
Na noc zakładają "słone" skarpetki. Lekarz mówi, czy to ma sens
Na noc zakładają "słone" skarpetki. Lekarz mówi, czy to ma sens
"Fala zakażeń". Pediatra o tajemniczym wirusie
"Fala zakażeń". Pediatra o tajemniczym wirusie
Domowy truciciel. "Natychmiastowy negatywny wpływ na funkcje mózgu"
Domowy truciciel. "Natychmiastowy negatywny wpływ na funkcje mózgu"
Wirusy w natarciu. “Można mieć combo w combo”
Wirusy w natarciu. “Można mieć combo w combo”
Tak wyglądają teraz oddziały pediatryczne. "Kończą się miejsca"
Tak wyglądają teraz oddziały pediatryczne. "Kończą się miejsca"